ПОЛЕЗНЫЕ СОВЕТЫ
Лист снижает диабет, артериальное давление, устраняет боли в теле, холестерин и устраняет плохое кровообращение.
Псиллиум от запора — как принимать, польза и принцип действия Что такое псиллиум и почему его так ценят врачи?
Амариллис у подруги не цветет, а у меня по 3 раза за год. Делюсь схемой ухода Амариллис, он же гиппеаструм
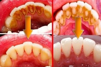
4 шага к отбеливанию зубов с помощью домашнего рецепта Наше здоровье очень важно для поддержания хорошего
Как использовать гвоздику для устранения запаха мочи в ванной Чтобы избежать использования химических
Травы от отёков: Природные средства которые помогают мягко и эффективно бороться с этой неприятностью.
Черная плесень в швах плитки — больше не проблема: работающий способ очищения за 15 минут Даже в идеально
Дом из газобетона без утеплителя: как не замерзнуть зимой и не переплатить — секрет раскрыт Газобетон
Поставьте один яркий предмет в курятник — и яйценоскость увеличится в 3 раза: метод от птицеводов С наступлением








